LA CIMICE DEI LETTI
(Cimex lectularius)
Dott. Luciano Schiazza
Specialista in Dermatologia e Venereologia
Specialista in Leprologia e Dermatologia Tropicale
c/o InMedica - Centro Medico Polispecialistico
Largo XII Ottobre 62
16121 Genova
cell 335.655.97.70 - studio 010 5701818
www.lucianoschiazza.it

La cimice dei letti è un insetto appartenente all’ordine degli Eterotteri (Heteroptera) e alla famiglia delle “cimidae”. Hanno la tipica forma a cuore del torace (ovale e appiattita quando è a digiuno) e due paia di ali (elitre) virtualmente assenti (fortemente ridotte a piccole squame ovali o assenti del tutto). La testa è breve, dilatata trasversalmente.

Il rostro, proprio degli Emitteri, nelle cimici è trasformato in un pungiglione piuttosto breve esteso anteriormente al capo che a riposo si ripiega in una apposita scanalatura sotto il capo e la parte antero-ventrale del torace, rendendosi quasi invisibile. Il colore è traslucido marrone ferrugineo quando è digiuna, rosso mattone cupo quando è piena di sangue.

La femmina può misurare in lunghezza 6-8 mm (il maschio è più piccolo).
Non è un insetto solitario ma tende a vivere in comunità miste di maschi, femmine e fasi immature, mai troppo distanti dai loro ospiti.
Le femmine dopo il pasto di sangue (dura dai 3 ai 5 minuti in media ma può protrarsi anche per 10 minuti e succhiare sangue pari a 7 volte il proprio peso) si ritirano nei propri nascondigli, digeriscono il pasto e depongono le uova (da 1 a 5 al giorno, in media 2-3, protette da un guscio molto resistente). In 2-3 mesi depongono 200-300 uova.
Le uova sono di colore grigio perlaceo cremoso, lunghe poco più di 1 mm e larghe mezzo, munite di un piccolo opercolo al polo anteriore. In 6-9 giorni (in condizioni di temperatura ottimale, più a lungo se è più freddo) dalle uova si dischiudono le ninfe (sarebbero le cimici giovani) che si accrescono mediante 5 mute per diventare adulte in circa un mese.

Morfologicamente le ninfe sono molto simili agli adulti (sono versioni in miniatura dell’adulto) di colore però chiaro. Sia gli adulti, maschi e femmine, sia le fasi ninfali, si nutrono di sangue (ematofagi). La vita di un adulto dura in media 6-12 mesi.
Necessita di una temperatura piuttosto alta per compiere il proprio ciclo vitale e perciò si insedia nelle stanze che d’inverno vengono riscaldate e nei luoghi più tiepidi della casa.
La cimice dei letti parassita preferenzialmente l’uomo (antropoparassiti) ma in sua assenza può pungere anche animali domestici (cani -specie quelli giovani-, gatti) e non disdegna neppure roditori, conigli, pipistrelli e uccelli.
Diversamente dai pidocchi che hanno bisogno di temperatura costante e perciò stanno a contatto con la pelle o sui peli o sui vestiti, la cimice non vive sull’uomo e sui suoi vestiti; il contatto con l’uomo è limitato al tempo necessario per nutrirsi di sangue..
Riesce a sopravvivere anche a basse temperature ma in tal caso sospende la propria attività in attesa di condizioni termicamente favorevoli.
E’ molto sensibile alle alte temperature e muore dopo pochi minuti quando viene esposta al sole in una bella giornata estiva. Anche il freddo, specie se improvviso, può portare a morte l’insetto.

La puntura della cimice (con la quale inietta la propria saliva) non viene avvertita, diversamente dalla reazione cutanea seguente, costituita da papule molto pruriginose, che possono comparire anche dopo 9 giorni dalla puntura.

Si nutrono e si spostano di notte. Sono guidate dall’olfatto (non gradiscono l’odore di tutte le persone e quindi alcune sono preferite rispetto ad altre) e dalla temperatura del corpo del dormiente (temperature attorno ai 35°C). Si arrampicano sui letti e si dirigono rapidamente (sono dei “fast runners”) dove la pelle è più sottile e meglio irrorata di sangue come i polsi, il collo, le caviglie, non disdegnando le spalle e il viso.
Se il letto non può essere scalato ( come ad esempio se i quattro piedi del letto fossero collocati in recipienti ripieni d’acqua), le cimici potrebbero scalare le pareti della stanza, e camminando all’ingiù sul soffitto, giunte sulla verticale della vittima, si lascerebbero cadere. Il sonno della vittima è un fattore favorente la cimice: se il paziente è sveglio e tiene la luce accesa, normalmente non pungono. Tuttavia in caso di digiuno prolungato, le cimici possono diventare più aggressive, pungendo anche in ambienti ben illuminati.
Il digiuno comunque è ben tollerato, anche per mesi.
Durante il giorno si rifugiano nei materassi, nelle giunture dei letti, nelle fessure e screpolature dei muri, in vari pertugi delle zone calde della casa, dietro il mobilio, sotto la carta da parati e gli arazzi, attorno agli stipiti delle finestre e delle porte,, dietro ai quadri ed ai posters, nei telefoni, nelle radio e negli orologi, ecc..
La camera infestata dalle cimice emana un odore disgustoso (dovuto alle secrezioni di alcune ghiandole dell’insetto che vengono veicolate all’esterno attraverso due orifizi alla basse delle anche del terzo paio di zampe); si possono anche osservare i suoi escrementi essiccati sulle lenzuola (gruppi di piccole macchie di colore nero o marrone).
La cimice dei letti non trasmette, in condizioni naturali, malattie anche se, essendo in grado di permettere lo sviluppo di alcuni parassiti, potrebbe potenzialmente trasmettere vari agenti infettivi.
Prevenzione:
La cimice dei letti non appare spontaneamente in casa. Inavvertitamente viene trasportata da un posto all’altro dalle persone.
Ad esempio:
-
le cimici potrebbero essere veicolate tramite i bagagli depositati in un hotel e poi riportati a casa.
-
potrebbero essere introdotte in casa tramite il mobilio (vecchio).
Ovviamente man mano che il numero delle cimici si moltiplica, aumenta anche la possibilità che esse possano essere trasportate ad altre stanze dell’hotel o dell’appartamento infestati.
Quindi
-
se alloggiamo in hotel, diamo una occhiata alle condizioni della stanza in cui alloggiamo e non lasciamo le valige ai piedi del letto ma sull’ apposito mobilio.
-
quando compriamo dei mobili vecchi, puliamoli e trattiamoli con insetticidi prima di portarli all’interno dell’appartamento.
Visto che le cimici non sono facili da debellare, se si riscontrano delle cimici nella propria abitazione, è consigliabile rivolgersi alla propria ASL o ad un servizio di disinfestazione piuttosto che “il fai da te”. Le stanze infestate, durante il trattamento, debbono rimanere chiuse da un minimo di sette sino a dieci giorni (il tempo necessario alle uova di schiudersi: le uova infatti non vengono debellate dagli insetticidi)
Comunque, per quanto ci compete, è bene:
-
eliminare i materassi.
-
passare l’aspirapolvere sui divani, tappeti, battiscopa, testate e giunture del letto (buttando via il sacchetto al termine dell’operazione) .
-
lavare con acqua calda (a temperature superiori ai 70°C) le coperture dei divani e gli indumenti
La terapia delle lesioni cutanee si basa sull’uso di topici cortisonici, selezionati in rapporto all’intensità delle lesioni stesse.
Inusuale caso clinico
Dott. Luciano Schiazza, Dott. Luca Anselmi
Le cimici dei letti sono ectoparassiti temporanei. Vivono sulla superficie dell’ospite (vertebrati omeotermi- animali in grado di mantenere costante la propria temperatura corporea) il tempo necessario a nutrirsi di sangue (ematofagia), Ad eccezione del tempo trascorso sulla pelle dell’ospite per nutrirsi, essi si rifugiano in zone scarsamente accessibili alla vista (a meno di grosse infestazioni).
Di piccole dimensioni (5-7 mm. come un seme di mela), hanno il corpo appiattito in senso dorso-ventrale con un profilo di forma ovale (se digiune) oppure sviluppato più in lunghezza che in larghezza (oblungo)(se hanno mangiato di recente).


Le cimici dei letti iniziano a nutrirsi dalla tarda sera e di notte. il loro pasto è breve: circa 3-12 minuti, dopodiché tornano nel proprio nascondiglio. Sono abili nel raggiungere l’ospite camminando sulle superfici: possono anche arrivare al soffitto e poi lasciarsi cadere sulla vittima, attratte dal calore del corpo e dal diossido di azoto che viene emesso durante la respirazione.

Il loro apparato buccale è fatto in modo tale da poter sia aspirare il sangue sia iniettare la propria saliva che contiene sostanze che impediscono la coagulazione del sangue (anticoagulanti) e favoriscono la dilatazione dei vasi sanguigni (vasodilatazione).
Si ritiene che una cimice si alimenti ogni 5-10 giorni, pur avendo la capacità di non nutrirsi anche per più di un anno.
La puntura della CL provoca prurito che però non è avvertito se non dopo minuti, ore o addirittura giorni.
Le lesioni causate dalle punture delle cimici dei letti non sono differenti da quelle causate da altri insetti, quali zanzare e pulci. Solitamente si tratta di rigonfiamenti rossastri (papule) disposti come a seguire una linea oppure raggruppate.
Dove si localizzano? Solitamente le zone esposte, con poche o numerosissime lesioni, in ragione del grado di infestazione, con un prurito variabile da persona a persona. Talvolta l’intensità dei sintomi è così intensa da generare anche sensazione dolorosa.
Descriviamo il caso di un giovane che ha dormito disteso sul ventre, a tronco nudo, su di un letto infestato dalle cimici.


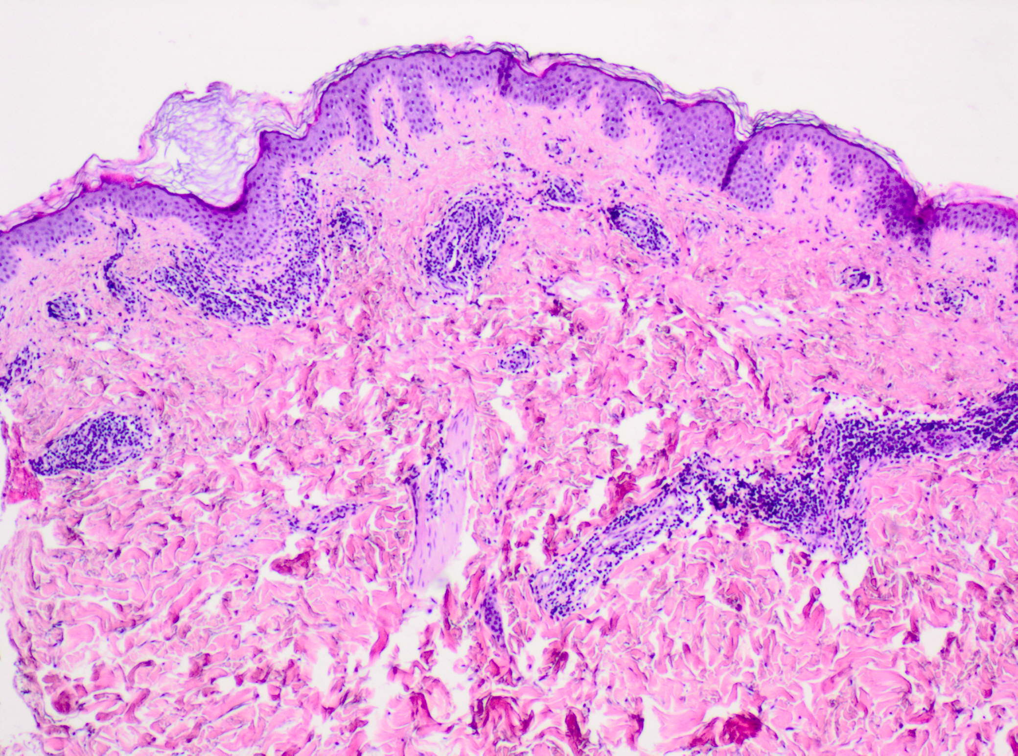
L’intensità del quadro clinico e della sintomatologia, ben oltre un semplice prurito, (si avvicinava al dolore), ci ha indotto ad eseguire prontamente una biopsia di un elemento, per trovare conferma alla nostra ipotesi diagnostica. L’esa me istologico con un infiltrato perivascolare di linfociti ed eosinofili a varia densità, ha confermato l’ipotesi diagnostica.
Di seguito le immagini istopatologiche.

Ematossilina-Eosina 2 x Infiltrato superficiale perivascolare e interstiziale di eosinofili e linfociti

Ematossilina Eosina 4x Infiltrato superficiale perivascolare e interstiziale di eosinofili e linfociti

Ematossilina-Eosina 10x Infiltrato superficiale perivascolare e interstiziale di eosinofili e linfociti

Ematossilina-Eosina 10x Infiltrato superficiale perivascolare di linfociti ed eosinofili

Ematossilin-Eosina 20x Infiltrato superficiale perivascolare e interstiziale di eosinofili e linfociti

Ematossilina-Eosina 20x Infiltrato superficiale perivascolare e interstiziale di eosinofili e linfociti

Colorazione di Lennert 2x. Tale colorazione conferma l’infiltrato di linfociti ed eosinofili

Colorazione di Lennert 20x Infiltrato superficiale perivascolare di linfociti ed eosinofili

Colorazione di Lennert 40xNumerosi eosinofili
Un accurato controllo della stanza utilizzata dal paziente confermava la presenza di cimici.
La disinfestazione fu affidata a professionisti del ramo.
Fu instaurata terapia cortisonica sistemica e topica con rientro nella normalità in pochi giorni.


Grazie al Dott. Luca Anselmi, Direttore del Reparto di Anatomia Patologica dell’Ospedale Villa Scassi Genova, per le immagini istopatologiche